Repaso Histología II: Adenohipófisis y Glándulas Endocrinas

Repaso Histología II: Adenohipófisis y Glándulas Endocrinas - Document Preview

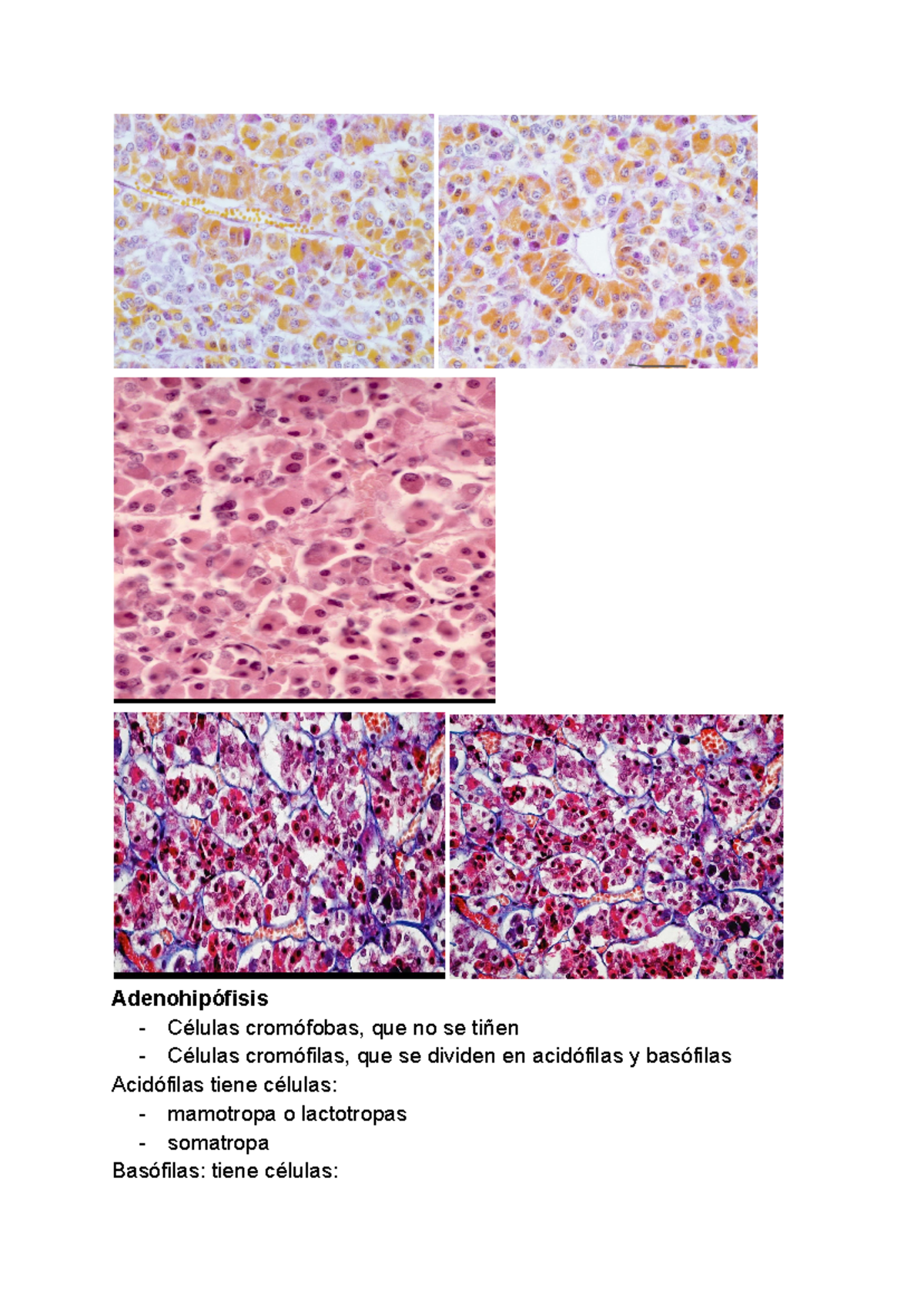
Adenohipófisis Células cromófobas, que no se tiñen Células cromófilas, que se dividen en acidófilas y basófilas Acidófilas tiene células: mamotropa o...

Document Information

  • Document Title: Repaso Histología II: Adenohipófisis y Glándulas Endocrinas
  • Source Platform: Studocu.net
  • PDF Availability: Direct link not detected; placeholder PDF will be provided
  • Document Type: Academic Document / Study Material

Important Notice

Please ensure you have the legal right to download and use this document. Respect copyright laws and use downloaded materials responsibly for educational purposes only. DownStudocu is not affiliated with Studocu.net.